Case Study 6

Overview: This wonderful patient presented to us to discuss improving the shape and color of her teeth.  She was dissatisfied with the chipped edges of the front teeth and the recession (where the roots of her front teeth are visible). After evaluating the photos together, we designed the new smile to make her smile whiter and fuller using a combination of veneers on the front teeth and replacing crowns on the back teeth.  She was thrilled with the final result that was accomplished in two visits!

Step 1- Primary Concern

Full face photo showing the worn edges of the front teeth and the chipping around the old white fillings.

Step 2- Close-up photo

Ideally, we want to design the edges of the front teeth to follow the curve of the lower lip.

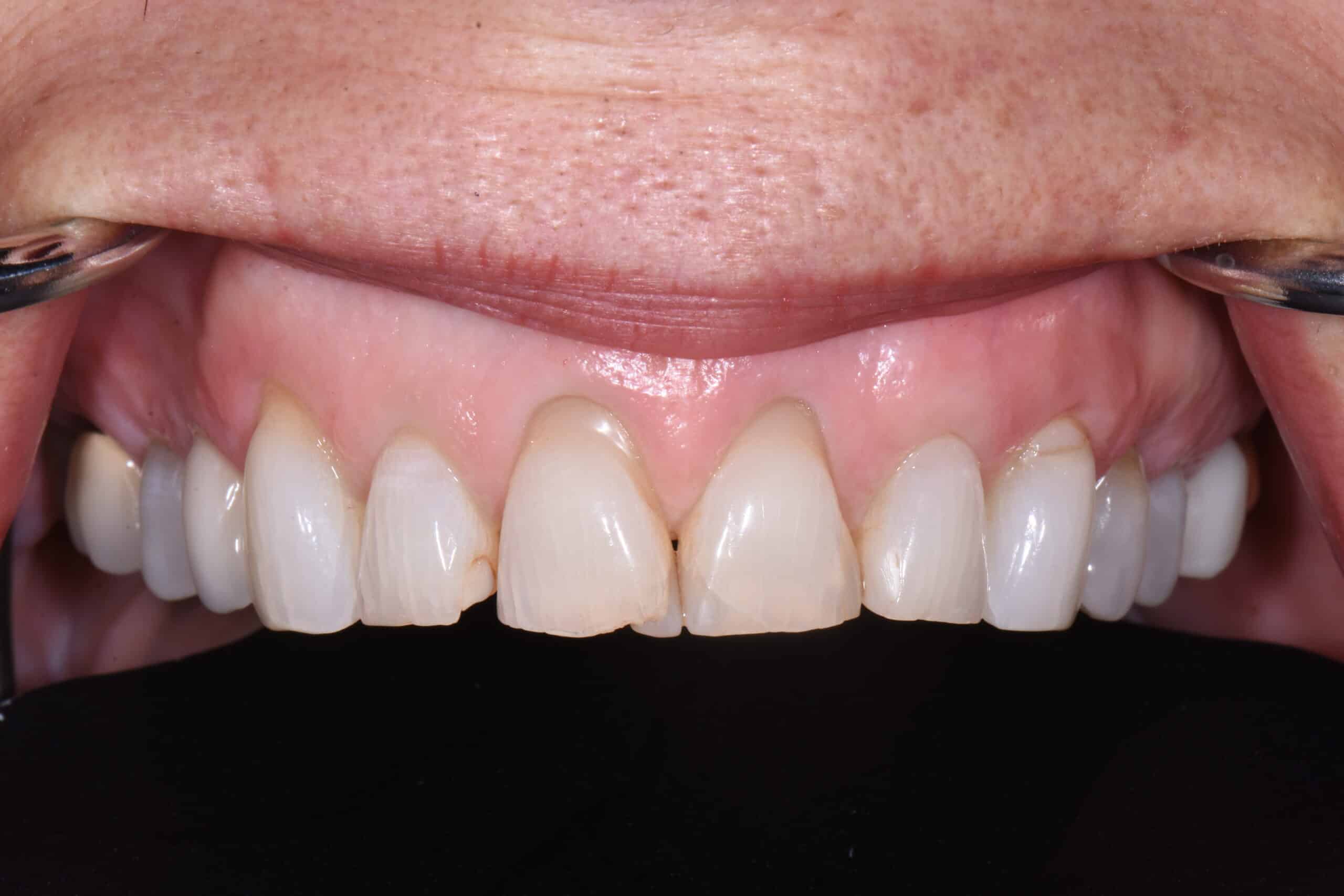
Step 3- Analysis

Detailed close-up photos showing the recession as well as the fractured edges as well as the discoloration around the old white fillings on the front teeth.

Step 4- Design

We designed the new smile to cover the recession, restore the length of the teeth that had been worn away and make the smile brighter and fuller. This photo shows the try on of the new smile before the teeth have been reshaped for the veneers. This allows the patient to preview the new smile, and she loved the new shapes of the teeth!

Step 5- Final Result Macro

This photo shows the final result of the new smile. The patient was thrilled with her bright, full smile.

Step 6- Final result micro

Confirmation that the new smile has repaired the worn edges and uneven color and that the edges of the teeth follow the curve of the lower lip, giving her a beautiful smile.

Our Patients Love Their Experience with Us

Our Patients Love Their Experience with Us

Amber Ah Ching
4 weeks ago
After my dentist moved, Dr. Hamrick was recommended to me by my Periodontist. From the moment I walked into his office, I felt a positive...
Amanda Richardson
3 weeks ago
I cannot say enough great things about Heritage Dentistry! I’ve always been extremely anxious about dental procedures, but from the moment I walked in, Dr....

SMILE WITH CONFIDENCE. CALL TODAY.

(864) 292-5125

Patient Financing

Find out More about our Patient Financing Options to make your advanced care more affordable
Meet Dr. Preston Hamrick
About Your First Visit
About Your First Visit