Case Study 5

Overview:  This patient came to see us with concerns over the white fillings on her front teeth.  She did not like the shape or size of the front teeth and was having issues with cavities around them.  After taking photos, we decided the best plan would be to improve the shape and the color of the front four teeth by placing veneers.  3-D models were sent to the master ceramist to design the front teeth so they would be in harmony with the rest of her smile.  She did bleaching both at home and in the office to improve the color of her other teeth prior to her appointment for the veneers.  After reshaping the teeth, removing both the old fillings and the cavities, provisionals were made to make sure the patient liked the shape and color.  After her approval, final veneers were made by a master ceramist with the goal to make them as natural looking as possible and to blend in with her smile.   She was thrilled with the final result!

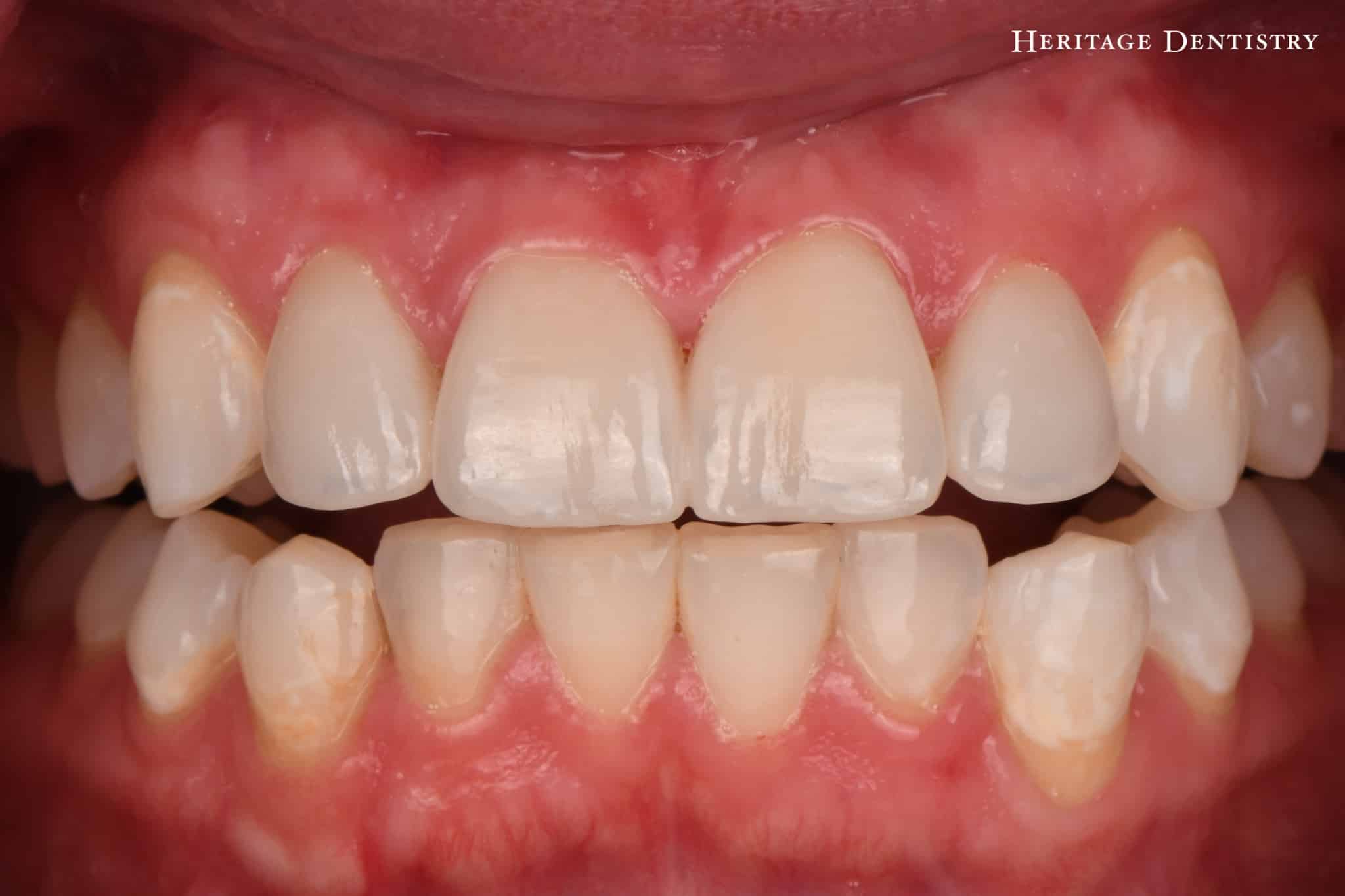
Step 1- Primary Concern

The front two teeth have bonding that is making the teeth too large and not in harmony with the rest of her smile

Step 2- Analysis

Bonding on the front two teeth is the wrong shape, discoloration of both the bonding and the adjacent teeth as well as small cavities between the teeth

Step 3- Reshaping for Veneers

After the approval of the new design, the teeth were reshaped for veneers.  The teeth had to be reshaped more than normal veneers because of the presence of cavities between the teeth.

Step 4- Provisional Veneers

Temporary veneers were fabricated so that the patient could make sure that she liked the new design and the color

Step 5- Try in of Veneers

At this appointment, the provisionals were removed and the final veneers tried in so she could look at the shape and color

Step 6- Close up Smile

The new veneers are in harmony with the rest of her smile and follow the curve of her lower lip.

Step 7- Final Analysis

This photo shows a huge improvement of her smile.  Restoring just the front four teeth with veneers improves the shape and color and has given her a confident smile!

Our Patients Love Their Experience with Us

Our Patients Love Their Experience with Us

Amber Ah Ching
2 months ago
After my dentist moved, Dr. Hamrick was recommended to me by my Periodontist. From the moment I walked into his office, I felt a positive...
Amanda Richardson
2 months ago
I cannot say enough great things about Heritage Dentistry! I’ve always been extremely anxious about dental procedures, but from the moment I walked in, Dr....

SMILE WITH CONFIDENCE. CALL TODAY.

(864) 292-5125

Patient Financing

Find out More about our Patient Financing Options to make your advanced care more affordable
Meet Dr. Preston Hamrick
About Your First Visit
About Your First Visit